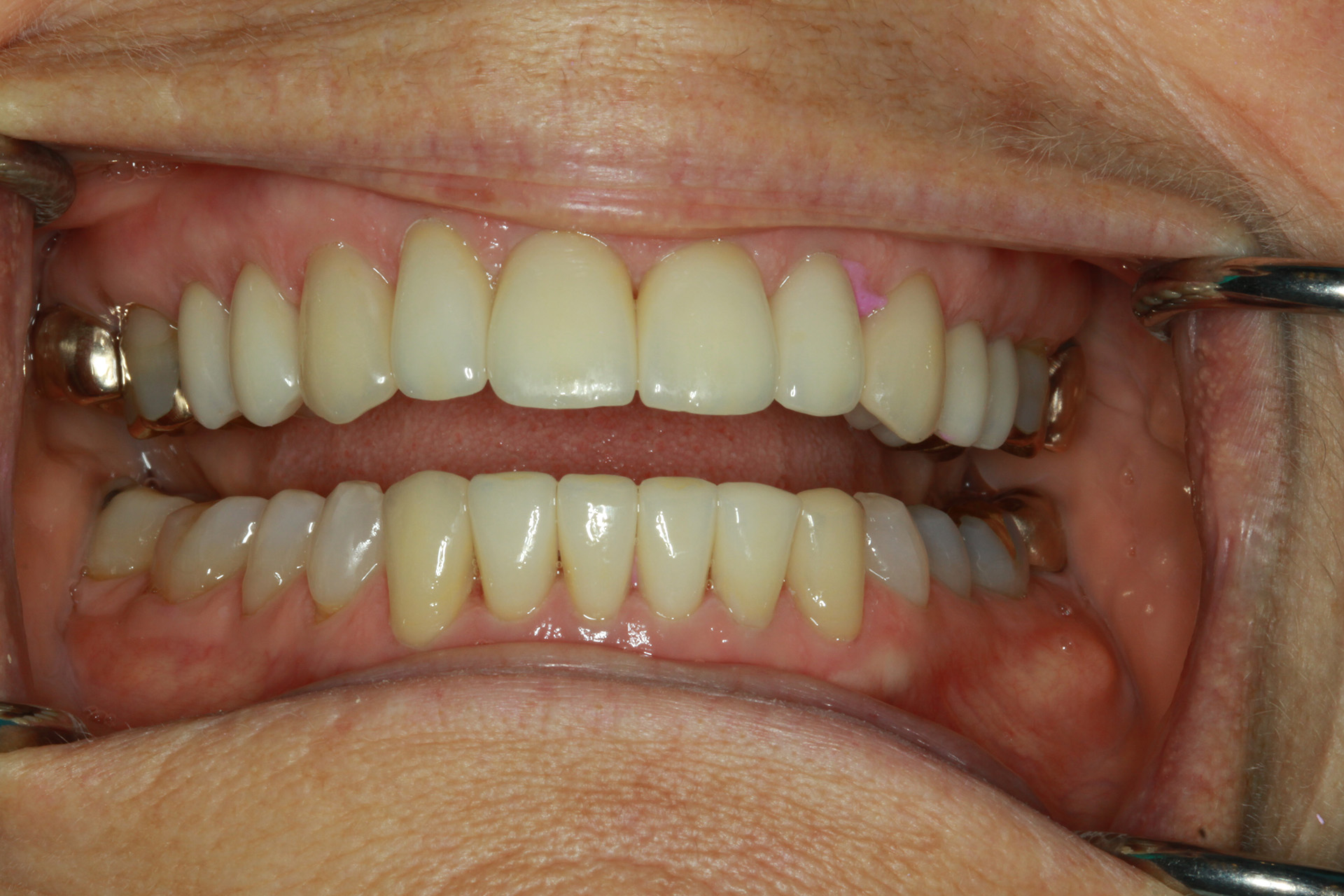
Anterior Veneers

Before

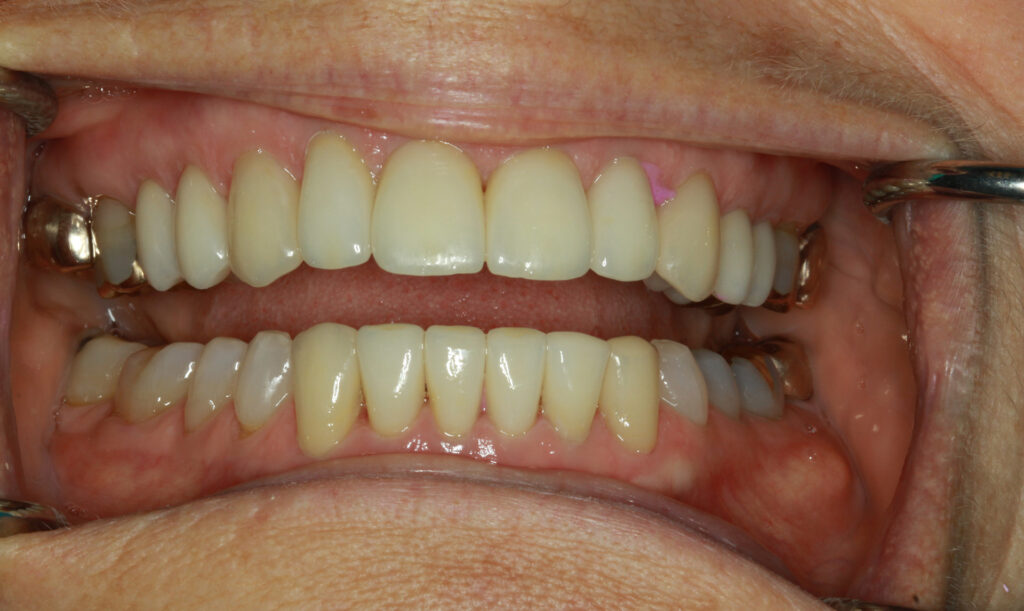
Anterior Veneers

Before

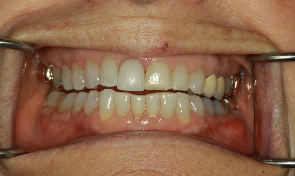
Anterior Veneers

After

Anterior Veneers

After
null

Schedule Your Appointment

Booking

To schedule an appointment, please click the button. Our scheduling coordinator will contact you soon to confirm your appointment.

VISIT US

2075 Barkley Boulevard, Suite 260 Bellingham, WA 98226

CALL US

(360) 733-8150