Skip to content
(360) 733-8150
2075 Barkley Boulevard, Suite 260, Bellingaham, WA 98226
Tuesday - Friday : Hours Vary
Facebook page opens in new window
Instagram page opens in new window
Barkley Blvd Dental Care – One Patient at a Time
Home
About us
Services
Preventative Care
Restorative
Oral Surgery
Cosmetic
Gum Tissue Treatment
Specialties
New Patients
Procedures
Before and After
Blog
Contact
Make an Appointment
Make an Appointment
Home
About us
Services
Preventative Care
Restorative
Oral Surgery
Cosmetic
Gum Tissue Treatment
Specialties
New Patients
Procedures
Before and After
Blog
Contact
Before and After
Have a perfect smile!
You are here:
Home
Before and After
Before and After
Services
Smile Design Wax Up
Cosmetic, Smile Design Wax Up
View »
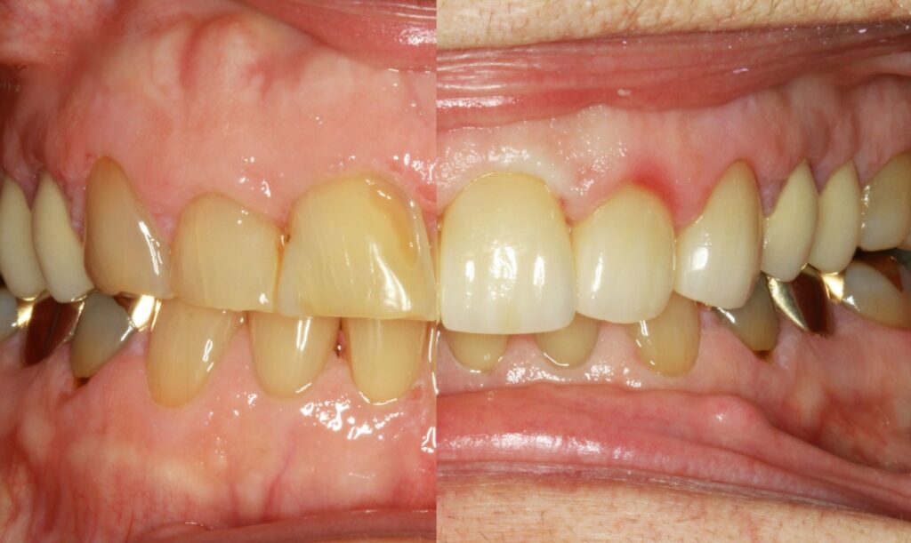
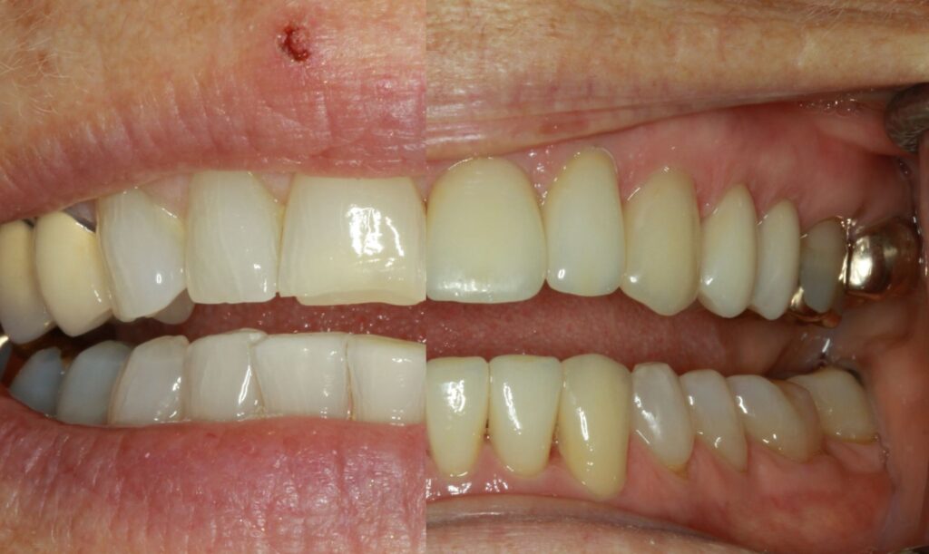
Upper Anterior Rebuild
Anterior Rebuild
View »
Four Anterior Teeth
Anterior Rebuild, Cosmetic
View »
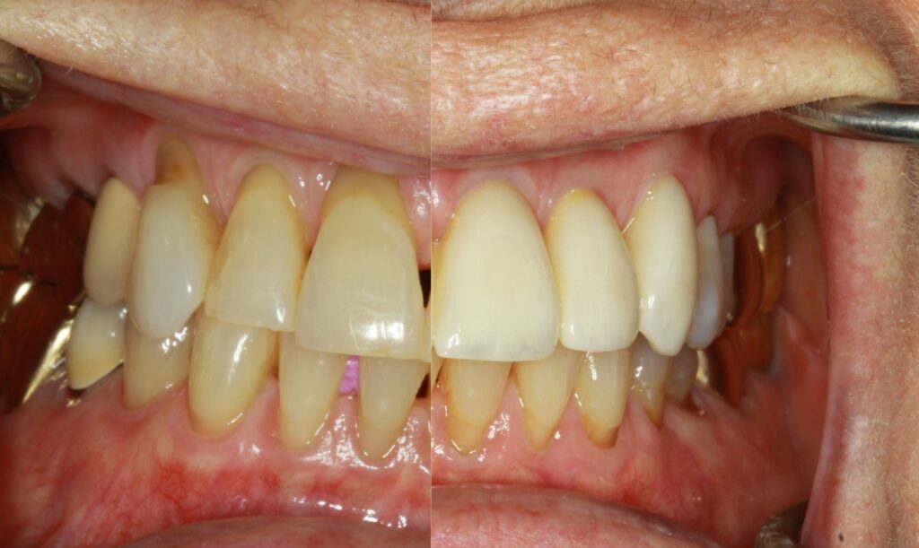
Full Mouth Rebuild
Cosmetic, Mouth Rebuild
View »
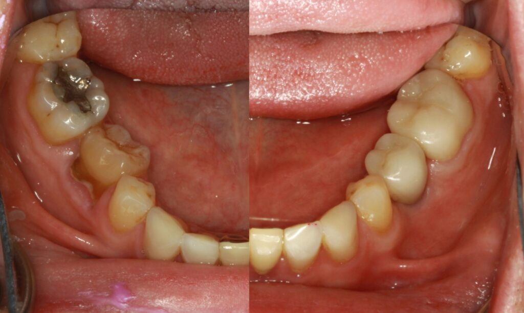
Upper Left Implants and Crowns
Cosmetic, Implants and Crowns
View »
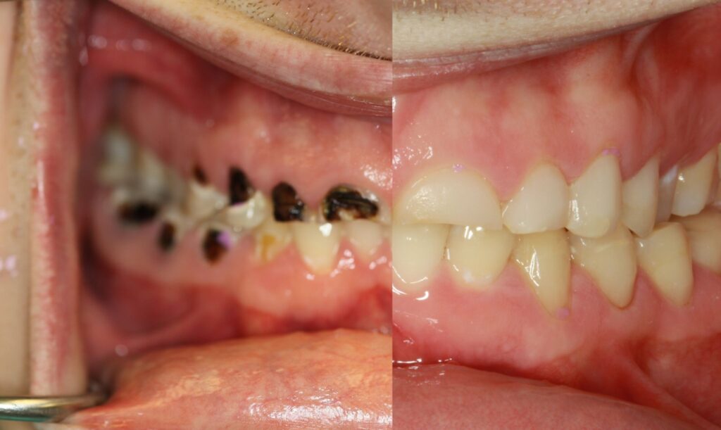
Filling Severe Decay
Cosmetic, Filling
View »
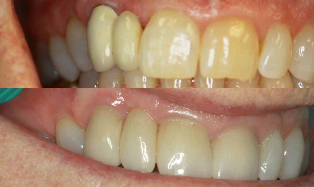
Anterior Veneers
Cosmetic, Veneers
View »
Anterior Wear
Cosmetic
View »
Pontic Redesign
Cosmetic, Pontic Redesign
View »
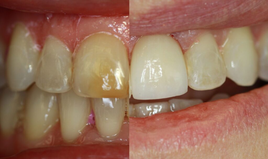
Single Front Tooth Veneer
Composite Veneers, Cosmetic
View »
Composite Veneers
Composite Veneers, Cosmetic
View »
Lower Implant and Crowns
Cosmetic, Implants and Crowns
View »
Schedule Your Appointment
Booking
To schedule an appointment, please click the button. Our scheduling coordinator will contact you soon to confirm your appointment.
Make an Appointment
VISIT US
2075 Barkley Boulevard, Suite 260 Bellingham, WA 98226
CALL US
(360) 733-8150
Go to Top