Preventing Gingivitis Naturally for Stronger Overall Health
Preventing gingivitis naturally boosts your oral and overall health with dentist visits and home care tips.
Preventing gingivitis naturally boosts your oral and overall health with dentist visits and home care tips.
Discover prevent gum disease tips to protect your smile and health with simple home care and dentist visits.
Protect your smile with regular dental checkups gum health and simple home care for healthier gums.
Prioritize your gum health and overall wellness with regular dentist visits for gum health you deserve.
Protect your smile and whole-body health with gum disease prevention at home and trusted dental visits.
Discover professional teeth cleaning benefits to protect your gums, boost oral health and overall wellness.
Discover the best dental care for gums to prevent gum disease with your regular dentist visits & home care.
Take control of your oral health with simple flossing tips for healthy gums you trust to prevent gum disease.
Discover how to prevent gum disease with dental visits and simple at-home care to keep your smile healthy.
Confidently protect your gums with prevent periodontal disease tips from your dentist and simple home care
Transform your look with smile makeover cosmetic dentistry in Bellingham, WA and boost your confidence today
Discover how cosmetic dental crowns can transform your smile in Bellingham, WA for lasting confidence.
Discover affordable cosmetic dentistry near me in Bellingham, WA and transform your smile with advanced care.
Learn how cosmetic dental bridges in Whatcom County can restore your smile and boost your confidence.
Discover how teeth whitening cosmetic dentistry in Bellingham gives you a brighter smile and more confidence.
Discover how cosmetic teeth reshaping in Bellingham, WA gives you a confident, stunning smile
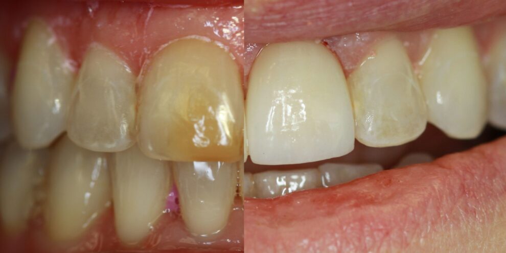
Explore cosmetic dentistry before and after transformations to boost your smile confidence in Bellingham, WA.
Affordable cosmetic dentistry treatments in Bellingham, WA help you improve your smile and boost confidence.
Discover how cosmetic dental implants can transform your smile in Bellingham, WA, boosting your confidence.
Transform your smile in Bellingham with cosmetic dental bonding for a healthier, more confident look.
Keep plaque away with the best mouthwash for plaque prevention and care tips from a Bellingham dentist.
Learn the benefits of regular dental visits in Bellingham, WA, and keep your smile healthy for the long term.
Boost your smile with simple tips for healthy teeth and preventive dental care in Bellingham.
Keep your smile bright in Bellingham with the best oral hygiene practices and routine dental checkups.
Discover the importance of dental hygiene for a confident, healthy smile with top dental care in Bellingham.
Discover how to prevent cavities at home with oral care tips and visits to your Bellingham dentist
Spot early signs of poor oral hygiene in your mouth and prevent cavities with simple tips in Bellingham.
Keep your smile bright with oral health maintenance tips and regular Bellingham dental visits.
Boost your smile and dental health with foods that prevent cavities through simple daily choices.