Skip to content
(360) 733-8150
2075 Barkley Boulevard, Suite 260, Bellingaham, WA 98226
Tuesday - Friday : Hours Vary
Facebook page opens in new window
Instagram page opens in new window
Barkley Blvd Dental Care – One Patient at a Time
Home
About us
Services
Preventative Care
Restorative
Oral Surgery
Cosmetic
Gum Tissue Treatment
Specialties
New Patients
Procedures
Before and After
Blog
Contact
Make an Appointment
Make an Appointment
Home
About us
Services
Preventative Care
Restorative
Oral Surgery
Cosmetic
Gum Tissue Treatment
Specialties
New Patients
Procedures
Before and After
Blog
Contact
Four Anterior Teeth
Before and After
You are here:
Home
Four Anterior Teeth
Four Anterior Teeth
Before
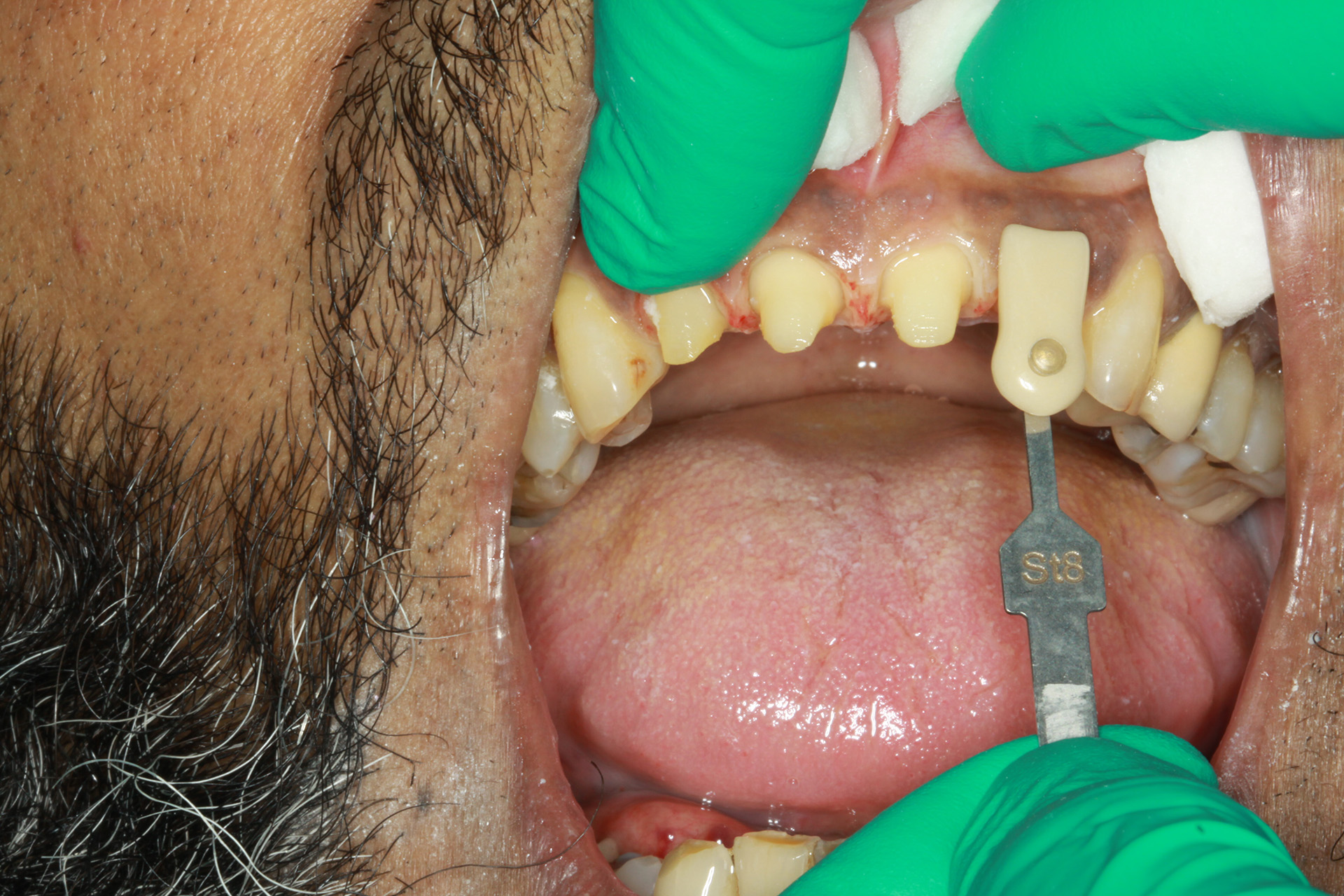
Four Anterior Teeth
Before:
Prep
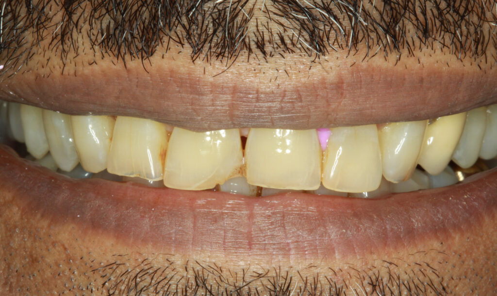
Four Anterior Teeth
After:
Final Restoration
Four Anterior Teeth
After:
Final Restoration
Back to Before & After
Schedule Your Appointment
Booking
To schedule an appointment, please click the button. Our scheduling coordinator will contact you soon to confirm your appointment.
Make an Appointment
VISIT US
2075 Barkley Boulevard, Suite 260 Bellingham, WA 98226
CALL US
(360) 733-8150
Go to Top